Kyretáž zubů: Podrobný návod a co Vás čeká

Kontrola příznaků a kalkulátor nákladů - Kyretáž zubů

Kontrola příznaků

Zakrčte všechny příznaky, které u Vás nebo vaší dásní zaznamenáte:

Lékař měří tento údaj při kontrole
Výsledek posouzení
Vyplňte formulář a klikněte na "Vyhodnotit riziko"
Význam výstupu:
Nízké riziko: Preventivní kontrola dostatečná
Střední riziko: Doporučena konzultace s odborníkem
Vysoké riziko: Okamžitá návštěva stomatologa nutná

Odhad nákladů

Cena závisí na počtu kvadrantů ústní dutiny:

Odhadovaná cena: ? - ? Kč
Rozsah ceny podle klinických podmínek
Časová osa pooperační péče
První 24 hodin
  • Žádné tvrdé potraviny
  • Vyhněte se příliš horkému jídlu
  • Můžete užívat studené jogurty nebo mírný čaj
Dny 1-3
  • Speciální pasty s fluoridem
  • Kartáč s velmi jemnými štětinami
  • Mírné krvácení je normální
Dny 4-7
  • Pravidelné používání Chlorhexidinu
  • Postupné snižování citlivosti
  • Přechod na běžnou hygienu
3 měsíce a dál
  • Kontrolní návštěva stomatologa
  • Pravidelná mezizubní hygiena
  • Případné opakované čištění
Důležité upozornění:

Tento interaktivní nástroj slouží pouze informačním účelům. Neklidnějte se na samodiagnóze – vždy navštivte kvalifikovaného zubního lékaře pro správné vyšetření.

Proč právě teď řešíme zdravé dásně?

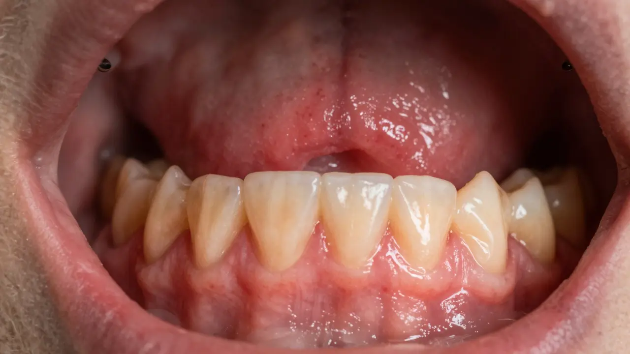
Zkouška v zrcadle odhalila krvácení? To je signál, který nelze ignorovat. Mnoho lidí si stěžuje na nepříjemný dech nebo pocit, že se jim zuby začínají uvolňovat, ale nedojde jim spoluvislost s tím, co se děje pod povrchem. V Brně i jinde po republice vidíme, že pacienti často odkládají návštěvu lékaře až do momentu, kdy bolest nenechá spát. Pokud se dostanete takhle blízko, pravděpodobně už pomůže jen kyretáž zubů, což je pokročilá metoda čištění. Ale co přesně ten proces obnáší? A jak dlouho trvá regenerace?

Představa o sedmém nebi vás nezachrání. Jde o proceduru, která si vyžaduje vaši spolupráci a čas. Někdy si lidé pletou běžné lešticí čištění s hloubkovým zásahem. První pouze odstraní povrchové usazeniny, druhé se snaží zachránit kostní podporu zubařského systému. Pro většinu z nás je důležité pochopit, že kyretáž cibulkově čistí kořeny zubů od drsného povlaku plného bakterií. Bez tohoto kroku se nemoc vrátí.

Kdy lékař rozhodne pro tuto léčbu?

Není každý případ vhodný pro tuto operaci. Pokud máte zdravé dásně bez hrotů a prohlubení, stačí vám preventivní kontrola jednou ročně. Situace se mění, když stomatolog naměří tzv. dásňovou kapsu, která je hlubší než čtyři milimetry. V této hloubce vaše štětka dosáhne, takže tam zůstává bakterie. Tyto bakterie způsobují zánět a erozi kosti.

Vlastní indikace zahrnuje několik konkrétních symptomů, které byste měli sledovat:

  • Trvalé krvácení při kartáčkození nebo žvýkání.
  • Časté opuchnutí dásní a změna jejich barvy na modravou.
  • Hluboké meziklinické prostory mezi zuby.
  • Oslabení držení zubů (mobilita).
  • Persistující špatný dech, který nesouvisí s jídlem.

Jediná cesta ke stabilizaci je odstranit příčinu, tedy tu hrubou vrstvu kamene. Než přejdeme k samotnému procesu, musíme si uvědomit, že nejste sami. Tisíce pacientů ve stejném roce projdou podobným osudem. Rozhodnutí udělat něco pro své zdraví není nikdy chybné, pokud se jedná o ověřenou medicínu.

Příprava na zákrok v ordinaci

Málokdo ví, že úspěch závisí i na tom, co uděláte před návštěvou. Nemusíte jít na proceduru nasnahou. Hlavní cíl je připravit ústní dutinu na manipulaci. Pokud máte těžký povlak, může být první fáze náročnější na čas, ale lékař vám poradí. Dobré je, den předtím pečlivě umýt zuby. Snížíte tak zátěž a zmírníte možnou podrážděnost tkání.


Kontrolní seznam před návštěvou stomatologa
Činnost Důležitost Užitečnost
Přesné objednání času Vysoká Zákrok trvá déle než čištění
Informování o lécích Kritická Riziko interakcí s anestezií
Lépe čištení zubů den předem Dobr Snadnější přístup k postiženým oblastem
Žádný alkohol před zákrokem Vysoká Bakterie rychleji prolínají po alkoholu

Určitě řekněte svému praktickému lékaři nebo dentistovi, jestli užíváte nějaké léky, například srážecí prostředky. Můžete brát aspirin, warfarin nebo jiné antikoagulancia, což má dopad na to, jak moc budete krvácet. Někdy musí lékař zakázat určité léky pár dní předem, abyste se vyhli nadměrnému otěru krevních cév. Moderní ultrazvukový nástroj v zubní ambulanci

Abychom zjistili, jak probíhá samotný zákrok

Samotný proces vypadá docela složitě, ale pokud ho znáte, přestože jste nervózní, uklidníte se. Celiství zákroku sestává z několika fází, které probíhají bezprostředně za sebou. Pacient obvykle sedí v pololehu a doktor používá místní anestezii, aby byl zákrok bezbolestný.

  1. Anestetizace oblasti: Stomatolog aplikuje gel nebo injekci, která vyvede citlivost v daném úseku dásně. Pocit brnění můžete mít, ale pálivou bolest necítíte.
  2. Odstranění povrchového plaku: Pomocí speciálních nástrojů se začne pracovat na horní části kořenových vláken. To jsou prvky, kde se vytváří nejtvrdší ložiska.
  3. Hloubková redukce: Následuje práce pod okrajem dásně. Tu provádí buď manuálními kurety nebo ultrazvukovým špičkou.
  4. Vyrovnání povrchu: Po odstranění kamenů se musí kořen zubu vyhladit. To umožní dásni opět správně přirůst a uzavřít kapsu.
  5. Zhodaření a výplach: Zakončí se vyplavením dezinfekčním roztokem, aby se zbavila volných fragmentů.
Ultrazvukový aparat je moderním nástrojem, který využívá vysokofrekvenční vibrace. Ten rozmlazuje tvrdý povlak a zároveň vymýjí kapsu tekutinou. Tradiční kovové nástroje se stále používají pro jemnější práci, kde je potřeba precizní cit. Kombinace obou metod zajišťuje nejvyšší efektivitu v boji proti parodontitidě.

Kolik to vlastně stojí v České republice?

Cena zákroku závisí na typu zdravotního pojištění a rozsahu potřeb. Pokud jde o veřejné pojištění, základem je často hrazené čištění, ale hloubková kyretáž bývá platbou ze vrecka. Cena se může pohybovat v rozmezí od dvou tisíc do deseti tisíc korun, podle počtu kvadrantů ústní dutiny. Existují soukromé kliniky, které nabízejí balíčky, kde získáte celkové provedení levnější než jednotlivé kroky.

Některé pojistoviny poskytují příspěvek, pokud máte potvrzenou diagnózu chronického onemocnění dásní. Je dobré se zeptat přímo v ordinaci, zda postup schvalujete. Navíc mnoho zubařů poskytuje splácení ceny na několik měsíců. To znamená, že nemusíte hradit vše najednou a finanční zátěž je snazší unést. Zdravé zuby a dásně po úspěšné léčbě

Co dělat hned po návratu domů?

Rekonvalescence je klíčová pro úspěch. Pokud budete ignorovat doporučení, zánět se může znovu vrátit. Prvních dvacet čtyři hodin nejděte žádné potraviny, které se mohou uvázat do dásní. Vyhněte se příliš horkému jídlu. Chlad může trochu ublížit, ale ledový nápoj může utlumit zánět, takže zkuste studené ovocné jogurty nebo mírný čaj.

Je nutné používat speciální pasty obsahující fluorid. Běžná bělidla mohou dráždit. Používejte kartáč s velmi jemnými štětinami. Často se stává, že se dásně v místě zákroku lehce krvácí. Je to normální. Pokud klesá intenzita krvácení do tří dnů, je to dobrý znak. Užívejte antibiotika pouze v případě, že vám je předepsal lékař. Někdy se přidávají kloktací roztoky, například Chlorhexidin, ale ten musíte používat jen po dobu sedmi dní, aby se zabránilo zbarvení zubů.

Pozor na časté mýty kolem zákroku

Zajímavé je, jaké příběhy kolují v okolí. Nejčastější mylnou představou je, že po zákroku se budou zuby více chvět nebo pádat. Ve skutečnosti je opak pravda. Zuby padají kvůli ztrátě kosti způsobené infekcí. Kyretáž zastavuje tento proces, takže chrání kost a posiluje zakotvení. Dalším omylem je strach z toho, že se zuby stanou citlivými. Krátkodobá citlivost je běžná, protože se odkrylo, co bylo dříve skryté pod kamenem. Tato citlivost však po pár týdnech odezní, jakmile dásně uzdraví.

Nepodceňujte ani roli domácí péče. Nikdo jiný než vy nemůže udržet výsledky po celý život. Musíte pravidelně čistit mezizuby nití nebo mezizubními kartáčky. Pokud zanedbáte to, co lékař provedl, všechny jeho snahy budou zbytečné. Prevence je vždy lepší než léčba, ale pokud už jsme na cestě k léčbě, dejte si záležet na každém detailu.

Boolí kyretáž zubů opravdu hodně?

Sama o sobě ne, protože se provádí v lokálním anestezii. Mohou se objevit nepříjemné tlaky, ale ostrá bolest by neměla nastat.

Musím brát antibiotika po zákroku?

Pouze pokud existuje riziko šíření infekce. Většinou se vystačí s důkladnou mechanickou úpravou a antiseptiky.

Mohu jíst ihned po proceduře?

Nejlepší je počkat dokud neodpadne účinek anestetiku. Pak zvolte měkká jídla a vyhýbejte se žvýkání na straně zákroku prvních dnů.

Jak často se kyretáže opakuje?

Vždy to záleží na rychlosti tvorby plaku. Obvykle se doporučuje kontrola jednou za tři měsíce a případné opakování podle potřeby.

Vyplatí se laserová léčba místo klasické?

Laser může být šetrnější, ale klasická metoda je prověřená. Výsledek závisí spíše naručnosti lékaře než na technologii.

Write a comment